Tendon Injury management can be challenging, often with a tremendous investment of time and money. After 20 years of veterinary practice, utilizing traditional methods of management, I am a firm believer in providing for the tissue that is injured and thus, creating the ideal environment for cellular repair and recovery. The results tend to be more reliable, quicker and the patient seems to do better in the long term. I feel it is critical to control the inflammatory response and provide proper nutrients, which then opens the door for healing. Here is one case, amongst many, that demonstrates a fairly simple approach with dramatic results in a short period of time.
When it comes to tendon and ligament injuries, inflammation is often a major contributing factor. There is obvious inflammation after the injury has occured, which contributes to pain and swelling, but in many cases the inflammatory process contributes to the injury, which may weaken the tissue. We have to remember that constant overuse or strain of the structure during competition or training fuels the inflammatory process, which may open the door for problems. So, looking at the big picture, inflammation plays a role in predisposition to injury, the injury itself and the recovery process.
Seeing the big picture and contribution of inflammation, it makes sense to control it in order to improve the outcome.
Here is a case of a 7 y.o TB gelding that was retired off of the racetrack in the fall of 2013 due to ongoing tendon injury and lameness in the right front. He was stall rested for over 6 months and his overall prognosis for returning to a successful riding career was limited. In the Spring of 2014, he was admitted to our rehabiliation program with a presenting lameness of 3/5 on the RF at the trot. He had obvious swelling to the tendon region, localized warmth and overall sensitivity.
This is a classic example of a low bow, which in this case is enlargement of the superfiical flexor tendon. Here is an image after the limb has been clipped for an ultrasound examination. We can appreciate the enlargement or swelling to the back part or caudle aspect to the leg, just above the fetlock region. This is due to tendon enlargement or swelling due to the injury.

This injury had been present, off and on for about 1 year’s duration with evident recovery based on the horse’s racing history, but it was also obvious that the injury recurred due to failure to place in subsequent races. The therapies used during that time were unknown as the full history was not revealed.
Here are some ultrasound images but in order to know abnormal, we first must know normal. The image to the left is of this horse’s normal left front tendon region, demonstrating normal anatomy and sizes of the flexor tendons just above the fetlock region. The white arrow demonstrates the superficial flexor tendon, which is a comma shaped structure, essentially overlapping or wrapping around the deep flexor tendon from the 11 o’clock to the 2 o’clock position. The deep flexor tendon, which is the yellow arrow, and a more circular type structure. Both tendons are viewed on cross section. There is a small black central area to the superficial flexor tendon here in the ‘normal’ leg, which may be a central area of injury that has occured in the left fore as well.
The image to the right is the same region on the right front, which is the injured limb. By comparing the two images, we can see that the superficial flexor tendon on the right fore is dramatically enlarged with a central black region, which is a core lesion. The overall enlargement is likely due to scarring or fibrosis within the tendon, but we can appreciate that the superfiical flexor tendon in the right front is so large that it is wrapping around the deep flexor from about the 10 o’clock to the 5 o’clock position.
If we measure the circumferance of the superficial flexor tendon on the right front, it is approximately 97.0 mm with the central core (black) lesion being about 19.9 mm.
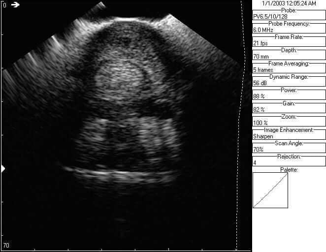
Here is the right front after 18 days of therapy, managing inflammation and enhancing the immune response. This particular horse did not receive any invasive therapies and was on full turnout while receiving the Cur-OST EQ Plus twice daily and the Cur-OST Immune & Repair once daily. The image on the left is the regular image, while the one on the right is the same image, but the tendon areas are outlined for clarification.
At the 18 day mark, the circumference of the superficial flexor tendon is measuring 72.0 mm and core lesion size of 13.1 mm. Overall, in a little over two weeks time, we have reduction in the overall size of the tendon and filling or repair of the central core lesion. The horse was also about 90% sound at the two week mark and under saddle with a controlled trot.
Promoting a healthy inflammatory process through the use of our EQ Plus formula is one major step in aiding tissue healing and repair. The other crucial step, I feel, is to promote a healthy immune response, which aids in clearing dead tissue and debris and opens the door for proper healing. This is why we often combine the EQ Plus and our EQ Immune & Repair formulas together in our tendon and ligament injuries. The combination, along with a high plane of whole food nutrition, has helped us to speed the recovery process and often get the horses back in light work sooner.
I do think that recovery or at least tremendous progress can be made with even the worst of cases, if we provide for the body what it needs to repair. One aspect of this provision is controlling the inflammatory response, which based on research, is to blame for tissue degeneration and overall weakness. If we control the inflammatory process, I feel we create the right conditions to allow for healing and cellular repair. Even when invasive procedures or therapies are employed, I feel it is crucial to support the body as the results can be enhanced.
In this particular case, I feel we will achieve full tendon repair over time with no invasive therapies or medications, just providing for the body what it needs and creating the right extracellular environment. Likely, due to chronic scarring or fibrosis, we will not achieve a ‘normal’ sized tendon, but overall tissue strength can be restored, which relates to soundness and ability to work.
I hope this example helps to demonstrate tendon anatomy, injury and healing.
Tom Schell, D.V.M.
Nouvelle Research, Inc.
www.nouvelleresearch.com

I wonder could you help we have a 13h pony an tendons seem to be filled on either side behind the cannon bone.The near fore is the fullest but he is lame on the off fore….just wonderring if you could throw some light on the fullness.
Hi,
My name is Davinder Singh, I am from India.
I have horse we use to go in competitions of single foot gait. Now my horse is suffering from same thing his front leg is swollen and we tried many methods to cure it but nothing works can you suggest me anything.