Equine Articles
Tendons and ligaments literally hold us together, as well as our pets and equine companions. They hold joints together and allow us the flexibility to move in many directions, often taking the impact of many stressful events through their ‘stretching’ ability. Tendons are off shoots of muscles, connecting the muscle to the bone. Ligaments are fibrous connections between bones and often bridge joints, helping to provide stability to that region. These structures are important for many reasons, but damage can occur often due of over-straining, leading to months of recovery and in some cases prolonged debilitation…but there are solutions!
The common cold, influenza, allergies and even cancer have one thing in common…the immune response. The immune system is a complex network of cells and secretory chemicals designed to protect our bodies against the invasion of foreign substances including bacteria, viruses and fungi. Despite the well intentions and overall importance, sometimes thing can go wrong contributing to a host of health problems not only for ourselves, but our pets and equine companions. As a veterinarian, a high percentage of problems in our patients can be contributed to what is termed ‘immune dysfunction’, but the ultimate question lies in how these problems are best managed to improve overall health and performance. The same problems are often encountered in people additionally, leaving an open door for desirable means of supporting the immune response.
How many food sources do you know that provide the ability to rejuvenate the body, enhance energy levels, support tissue healing and repair, detoxify, support the immune response and potentially ward off dangerous cancer all in ONE? Spirulina blue green algae has been termed one of the many wonder foods of the world and has been used traditionally in many medicinal cultures to aid in the recovery of the ill and support overall health. It could be considered potentially the only food you could possibly ever need!
Do you feel the chill in the air? Winter is coming and those of us with horses know what that means! We’ve got some work to do, but hopefully, this isn’t our first time at the rodeo and we know what to expect. For those of us who are new to all this winter horse stuff, I thought it might be beneficial too offer a few tips to make sure our horses stay happy and healthy, even in the cold!
If you own a horse, one of the most important things you can do to maintain health is vaccinations, but it can also be a costly endeavor. Everyone seems to have a strategy or recommendation, but the question is ‘what is right for your horse?’. Well, that depends on many factors including location, exposure to other horses as well as general risk factors. Another thing to consider is that vaccines are not without harm and over administration of vaccines can prove to be harmful in some circumstances. Let’s explore the options and recommendations.
The equine athlete is no different from us, as a human species, whether we are an athlete or not in our daily lives. As individuals and living beings, we are in-tuned, in most instances, as to how different stressers, diets and activities impact our health and general well being. For instance, we may know that spicy food may upset our stomachs or create a sense of heat in our bodies. Or we may understand that over-exertion, whether physically or mentally, drains us of vital energy. Given these apparent observations, why is it that we can listen to our own bodies and heed warnings, but when it comes to our equine companions, often we do not?
Curcumin, the “Indian Solid Gold” is one of the most cherished spices in the world. Health is something we all take for granted, but did you know that Curcumin taken daily can bring about dramatic health changes for the positive? Whether if you suffer from chronic joint pain, lower back pain or overall stiffness, benefits can be seen. In horses, we battle with joint deterioration, back complaints and overall unsoundness, chasing these conditions with expensive remedies combating something that could be better managed from another standpoint. Even in horses, dramatic changes can be evident, often creating confusion as to how something so simple can have such far reaching effects. Pets are no different, suffering from the same clinical maladies that affect humans. They too can benefit immensely, restoring healthy, vitality and a quest for life. So, why is this herb so wonderful?
Osteoarthritis is a disease affecting all species and can affect almost any joint in the body. The condition affects up to 70% of the humans, upwards of 60% of pets dependent on breed and approximately 70% of horses dependent on age and use. It is a debilitating problem, causing not only pain and discomfort, but decreased range of motion, loss of use and decreased quality of life, not to mention decreased performance for the athlete. The question comes as to how to best manage this condition with our eyes set on prevention.
Eye conditions in the horse are extremely common, unfortunately, with many of them being traumatic in origin. The majority of equine eye or opthalmic conditions are considered emergencies not only due to potential loss of eye sight, but also due to potential secondary complications. Let’s review the most common conditions affecting the horse as well as some not so common situations, as well as discuss treatment options.
In today’s equine world, there is so much focus on joint health and conditioning, that we tend to forget about the bigger picture. As a veterinarian, I see so much over use, almost bordering on abuse, of various pharmaceutical medications and equine joint supplements. So many people use them, that at times, I wonder if we are actually trying to manage a condition or more so if the increased use is more to follow what another is doing, almost making it a trend without purpose. Now, I will be honest and say that many of these equine supplements and medications can prove useful in certain situations, but overall, I feel they are being overused at times, trying to accomplish things they were never intended to do.
Proper conformation in the horse is vital to athletic performance, but it doesn’t always have to be a limiting factor. In my years of practicing veterinary medicine and performing pre-purchase examinations, I have yet to encounter a ‘perfect’ horse in terms of conformation by book definition. Every horse is an individual with conformation often based on genetics passed on from dam or sire. We have to accept things for the way they are, understand that there will be some limitations but also that certain flaws will predispose more to injuries. We can try to minimize these occurrences, but an understanding as to why they happen is important.
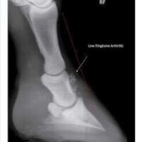
Joint disease in the horse is the number one cause of ongoing lameness and a result of many factors including excessive or ongoing trauma, genetics, diet and lifestyle influences. Degeneration within the joint leads to cartilage erosion, remodeling of the joint, ongoing pain and reduced range of motion in more severe cases. It is a condition that is best prevented and managed in the early stages versus in the advanced stages.
Therapies for joint disease in the horse now includes joint injections with corticosteroids, hyaluronic acid, polysulfated glycosaminoglycans and over the past several years, there is a new kid on the block termed IRAP or Interleukin-1 Receptor Antagonist Protein. IRAP therapy is supposed to help manage the inflammation and joint deterioration more effectively through the use of the body’s own natural resources.

Stem cells are essentially specialized cells that have the ability to transform or differentiate into one of many different types of cells present within the body. That includes the potential ability to differentiate into cardiac, nerve, muscle, tendon, bone and many other types of cells.
I read the line “performance enhancing or performance restoring” as part of a quote from a regulatory veterinarian in a discussion regarding drug use in the equine industry. I like the line, because it helps to create potential criteria that determines a drug or herb’s potential use and implications. We all want to achieve the best, win that competition, but we have to ask what are we doing with these medications? Are we trying to enhance performance in an animal that may not be able to perform at the desired level, inherantly, or are we trying to restore performance to an animal that has become compromised to some degree?
Impact of Exercise on Health
Looking to enhance performane and recovery, while reducing the incidence of injury? It is possible, but one has to understand what processes are at work and how to intervene. Exercise is something that we are all told to increase in our daily lives, but unfortunately, many equate this to a 45 minute, hard core workout performed in a gym on a daily basis. Although this is true, it is not true in all situations. Exercise can be walking, working in the yard, working in the barn, doing house chores…the list goes on. In terms of horses, exercise can be a long turn out with running in the pasture, routine daily training as well as a hard run at a jumper course. It is good for us and them, as it improves cellular function and oxygen metabolism, but also helps to strengthen muscle, improve circulation, burn calories and just improve overall health. But there is a bad side…

Lyme disease is unfortunately a common condition affecting not only horses and pets, but also a major health problem for people. The disease is actually associated with a type of bacteria or spirochete, Borrellia burgdorferi, which is transmitted by either the deer tick, the blacklegged tick or the sheep tick, when feeding on the host. The ticks are very small in size and often go undetected, but rates of infection can often times be very high dependent on geography with the northeast United States being the highest region. The highest rates of infection generally occur from May to July due to the ticks being more active during this time. The rates of infection actually correlate with deer populations as the white tailed deer are the host for the adult stages of the tick.
Cancer Prevention & Health
It seems that for the past several years, you can’t turn on the TV or even talk to a small group of friends without the mention of the word “CANCER”. Either there is someone close that you know with cancer or they are making new discoveries regarding the pathology and process of the disease. It is everywhere, it seems, but there are several noteworthy things one can do to prevent or lower the risk of disease.
The whole goal of the field of medicine should be aimed at disease prevention, but unfortunately, most of the time is dedicated to disease management. I feel at times, even as a veterinarian, that if we spent more time with younger patients focusing on good life habits, we would reduce the incidence of disease. This is not done for several reasons, time being one of them, but also we have to keep in mind that profits are not as good for disease prevention as they are for disease management. Cancer is a huge, profit driven force that often times does not take the best interest of the patients into consideration. This is true whether if we are talking about people or animals.