Laminitis is unfortunately a common condition affecting horses of any discipline or breed; whether if they are a Grand Prix Jumper or a backyard family companion. This condition can be devastating in terms of overall health and is considered to be one of the main causes of euthanasia second to colic by many standards. Laminitis is closely connected with a variety of clinical diseases, but the bottom line is there is uncontrolled inflammation on various levels, contributing to bone rotation and poor laminar health. If we address these problems properly, then outcome can be improved dramatically in many cases.
Despite years of clinical research, not many new answers have been discovered or therapies implemented over the past 20 years. The same therapies that I was taught as a veterinary student almost 20 years ago, are still implemented today unfortunately. To be honest, I am not sure we have really put a dent into the overall survival rate associated with this condition either, but none the less, we continue to move forward.
Laminitis is essentially a condition in which there is inflammation of the laminae. The laminae is the connective tissue which supports and affixes the coffin bone within the hoof capsule. In basic terms, the coffin bone (P3) is held in a certain position within the hoof capsule by two layers of laminae; the sensitive and insensitive laminae. When discussing this concept with my clients, I use an empty hoof capsule which contains grooves on the inside. I liken the joining of the tissue on the inside of the hoof capule to the tissue covering the coffin bone as like a Ziplock bag type of enclosure. The tissue from both surfaces essentially locks together through these groove like structures. This is of course simplified for the sake of discussion.
Contributors Associated with Laminitis:
- Easy Keeper body condition
- Metabolic Syndrome/ Insulin Resistance
- Infection/ Septicemia / Colic
- Grain Overload/Carbohydrate Overload
- Reproductive problems/retained placentas
- Joint injections/Corticosteroids
- Contralateral limb lameness (chronic)
- Long Toe/Low Heel Syndrome
Often, we have multiple contributing factors, such as long toe/low heel and metabolic syndrome, in many patients, thus creating a complex situation.
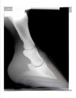
What we do know is that in cases of laminitis, there is a disruption of blood flow to the laminae, which in turns impacts the overall tissue health. As the tissue becomes impacted, the level of attachment or integrity degrades and the coffin bone is not longer held rigid in position. Under normal conditions, when viewing an X-ray, the front edge of the coffin bone should be relatively parallel to the front of the hoof wall. In cases of laminitis, the laminar health degrades and the coffin bone begins to rotate downward due to weight of the animal as well as backward pull of the deep flexor tendon. In this image, one can see two important points. First, the front of the coffin bone is relatively parallel to the hoof wall and second (red lines), the palmar aspect or bottom of the coffin bone should have a slight angle to the floor or bottom of the hoof wall. (Blue Lines) The coffin bone should not, in ideal circumstances, be parallel to the ground surface.
Now, this image is not ideal, because actually this horse had low grade signs of laminitis due to a couple of other anatomical issues. First, this horse has too long of a toe, which contributes to a fulcrum type of effect and is common in laminitic horses due to chronic changes in hoof growth. Second, the alignment of P1, P2 and P3 has a somewhat concave shape. Ideally, these three bones should be in a straight line type of alignment. This type of concave can actually predispose to degenerative joint changes, such as ringbone, which is actually present in a non-articular fashion in this horse’s coffin joint.
Clinical signs of laminitis in my experience are usually an acute onset type of lameness involving the two front feet and possibly all four, in which in most instances the horses are unwilling to walk or move forward. Here is nice video demonstrating a severe lameness in a draft mare at my veterinary facility. Here is another video of a recovered laminitic horse using our approach.
On clinical evaluation, these patients have an increased digital pulse to the foot involved, which is again usually both front feet. The reason that it is the front feet is that this is where the majority of the weight is carried in the horse. Aside from the digital pulses, these horses are also usually painful in the toe region when hoof testers are applied.
In terms of diagnostic testing, usually the first two tests performed are bloodwork as well as digital x-rays to detect rotation and overall status of the hoof and bony relationship. In some cases, these horses will not walk or lift a foot for the examination, so nerve blocks may be employed to facilitate the exam and x-rays.
When viewing the x-rays, I will usually look for several things including amount of rotation of P3, sole thickness as well as presence of any gas pockets in the hoof capsule which may indicate a concurrent abscess. Let’s look at a couple of x-rays for comparison sake.
Image One
In this x-ray (Image One), we can see that there is a marked rotation of the coffin bone in comparison to the hoof on the lateral view. The three phalanges; P1, P2 and P3 are not in alignment and the coffin bone is rotated backward due to the pull of the deep flexor tendon. The sole thickness appears adequate in this case, the actual measurement is unknown but ideally, again in my opinion, the sole should be a minimum of 10 mm, which this horse demonstrates.
Now, let’s look at Image Two. This horse has obvious rotation of P3 in relation to the hoof capsule, however, all three phalanges are in good alignment, albeit a little steep in terms of angle. The amount of rotation of P3 in relation to the hoof capsule in this x-ray is about 11 degrees. Now, personally, if I encounter a laminitic horse, I prefer this type of scenario because I feel that they are fairly responsive to corrective trimming in order to get P3 back into alignment with the hoof capsule. In this case, the sole thickness is good and a lowering of the heel as well as slight trimming to the toe can often restore stability to most of these situations. Again, one has to take into consideration the underlying cause of the laminitis, which dictates prognosis. I do, however, feel that many horses with this type of scenario seen above are actually more predisposed to laminitis due to conformation alone.
Some horses presenting with laminitis may not demonstrate any rotational changes on x-rays. This is often the case in acute cases that have just developed. The degree is rotation does not often correlate with the degree of pain or lameness. Many times, the ones with no evident rotation are often the most painful for various reasons. In many cases of chronic laminitis, we often will see dramatic rotation, which has developed over time and the horse has accomodated and there is mild lameness.
Aside for assessing for evident rotation of the coffin bone, we also have to look for ‘sinking’ of P3, which is where the bone actually loses its attachement and drops down within the hoof capsule. When this happens, the prognosis automatically becomes grave as it is difficult to restablish that connection for the long term and the condition rapidly deteriorates.
Now that we have taken x-rays, the next step is to evaluate bloodwork looking for any evidence of infection as well as possible organ failure, that may be contributing to the laminitis. Obviously, if we have concurrent disease such as pneumonia, endometritis, concurrent limb injury or even colic, we need to address those problems and treat accordingly. In many situations, bloodwork is often times normal, which is common to those horses experiencing carbohydrate overload from lush pastures.
In terms of managing the laminitis, the list of therapies is long. In most cases, we will use NSAID anti-inflammatories such as bute or flunixen to help manage pain levels. Other therapies include medications to alter blood circulation to the foot and include acepromazine, heparin and pentoxifylline. Some clinicians will also incorporate isoxsuprine and pentoxfylline, but I have found these medications to yield poor results clinically. Dependent on response to pain medications, some clinicians will also incorporate narcotic medication as well as other topical therapies to improve circulation. Of course, most of these therapies are done in conjunction with other therapies if there is a concurrent medical issue.
In addition to medical therapy, the foot often times needs to be addressed. In early or acute stages, I will often apply styrofoam pads to the bottom of the hoof and affix with duct tape for several days. As the coffin bone rotates, it is crucial to help support the sole, create cushion, ease discomfort and hopefully help to stabilize the bone. Some will use other pre-formed pads such as Lilly pads or rubber applied to the frog region to provide support and upward pressure. Each veterinarian is different and there are many philosophies on how to manage these cases. Trimming of the foot is also vital, in my opinion, based on the x-ray. If there is too much toe, then we need to remove it in order to decrease the fulcrum effect. If the heel is too low, then there is too much strain on the deep flexor tendon and an increased pull on the coffin bone. In these cases, we may need to apply a temporary wedge to increase the heel angle. Personally, I am not a fan of applying corrective shoes early in the process and feel that stabilization is most important initially. Once the patient is stable, then corrective shoes can be applied if they are indicated. In many of our cases, we will just trim the hoof to try to achieve bony alignment and manage without shoes. If the soles are too thin, then we will often times use various boots to provide sole protection. I don’t feel that shoes are an absolute in many of these cases.
Long Term Management:
The long term prognosis for laminitis is overall guarded in any horse. In many cases, we will use the amount of rotation as an indicator for survival, with the higher amount of rotation being worse. However, this does not always hold true and it is common to find chronic cases with slight lameness and a high amount of rotation. Many of these horses, once stabilized, are often time advised to not be on pasture and are destined for a life in a dry lot, due to concerns over excess carbohydrates and poor sugar metabolism. It is also common for these horses to continue to receive low doses of NSAID medications along with application of expensive corrective shoes, sometimes for the life of the animal.
Managing Inflammation:I think that in the case of laminitis, we are often times missing the big picture of inflammation and the course that it plays. I have discussed the course of inflammation in other blog posts in depth and feel that underlying chronic inflammation is predisposing many horse to laminitis. In my opinion, I feel that most, if not all of our current therapies are doing little to mitigate this inflammatory response during the course of therapy as well as with long term management. If the inflammatory condition is addressed in a more complete manner, in addition to concurrent therapies, the overall recovery rate is better and long term management is improved.
The inflammatory process is complex and results in the production of many inflammatory proteins, each with their own impact on health. Most traditional therapies, such as non-steroidal antiinflammatory medications, only address a small aspect of this process through inhibition of COX enzymes and reduction of prostaglandins associated with pain. Now, controlling pain is essential in these cases and those medications can be very beneficial, but often with long term use or high dose use, we can see serious health consequences such as kidney failure and gastric ulcers.
Looking at the inflammatory process and its complexity, we realize that there are other pro-inflammatory proteins playing major roles including Interleukins and Matrix Metalloproteinases (MMP’s) that are contributing to pain and actually responsible for laminar or tissue deterioration. NSAID medications, at safe doses, do very little to combat these proteins, thus leaving us an open gap in the therapy and thus potential continuing of pain, tissue deterioration and rotation of the coffin bone.
Given the gap in medicinal therapy, the only option we have is to look at herbs to accomplish a more broad reaching effect. Herbs including Curcumin, Boswellia, Ashwaghanda and many others have been shown to down regulate inflammation at a much higher level, resulting in lowered levels of MANY inflammatory proteins including prostaglandins, interleukins and MMP’s that are all associated with laminar deterioration, altered blood flow and pain. Through the addition of these therapies at therapeutic doses and in combination, we can often control the process more completely and improve outcomes.
Products that we find useful to promote a healthy inflammation response in these cases are: Cur-OST Pure EQ or Cur-OST EQ Total Support
Manage Insulin & Cortisol:In many cases, insulin resistance and elevated cortisol levels are a major contributing factor to the development of laminitis. As pain worsens in any horse, stress is increased and with this, insulin resistance can develop and cortisol levels rise. If the horse is already metabolic, this can then make matters worse. Controlling pain and inflammation effectively can lessen stress in any patient, but insulin sensitivity and cortisol levels must be evaluated to see what role they are playing. If insulin levels are high, indicating poor sensitivity, then we must improve the situation as cells are dependent on insulin for energy production and viability. If insulin is not working properly, then cells in the laminae are likely going to be functioning improperly, which will contribute to further pain and rotation. Cortisol levels will also rise naturally as a result of ongoing pain and associated stress. Cortisol is a catabolic steroid and is associated with tissue deterioration and elevated sugar or glucose levels, thus it can make insulin resistance worse.
There are no medications at our disposal to improve insulin sensitivity or reduce cortisol associated with stress, but we do have options. Blueberry, Bilberry and Noni Fruit extracts have all been shown in research trials to improve sugar metabolism through improved insulin sensitivity. In some patients, we actually notice body weight reduction over time through improved metabolism. Ashwaghanda is one herb that has been show in human trials to help battle the effects of stress, reducing anxiety and balancing out cortisol levels. In addition, all of these herbs and fruit extracts also have potent antioxidant capabilities which in turn helps to control inflammation.
Products that we find useful in promoting healthy sugar metabolism, insulin and cortisol values are the Cur-OST EQ Meta-Support and the Cur-OST EQ Adapt
Foot/Hoof Support: Proper hoof support is vital to preventing further coffin bone rotation and reducing pain for the horse. If pain is not controlled, then the cycle repeats with increased inflammation, further tissue destruction and bone rotation. Many veterinarians and farriers immediately apply special shoes including pads and heart bar types with the goal of providing support. The intentions are good, but in the acute laminitic horse, things can change on a daily basis and with this, requirements as well. If we apply a shoe, not only are we imposing more pain on that animal in an already painful foot, but if things change the next day, that shoe may not fit the bill. Personally, I elect to trim the foot, reduce toe length and apply a thick styrofoam pad with duct tape to the sole for overall support. Often, immediately, the horse is improved with comfort restored. By doing this, we can change it daily or even twice daily, going with changes as they occur. Even with this, one must re-evaluate that horse daily. Despite pain medications and an overall approach to inflammation using herbs as mentioned above, sometimes pain continues to be a problem, which to me signals bone instability and lack of proper hoof support. In these cases, we often need to try different things, using styrofoam pads in altered ways to improve support, being creative and letting that horse tells us what is comfortable and what is not.
Laminitis is a complex issue and disease and every horse is different. Given that every situation is different, they each pose their own challenges. Not every horse survives a battle with laminitis and it is really dependent on the underlying cause. The metabolic and insulin resistant horses tend to be more manageable for the long term, as compared to a horse that has colic and rotates due to septicemia. The underlying physiology is the same, inflammation and altered cellular function, but the level of that inflammatory response can be greater in one over another, which dictates response to therapy. Medications offer hope but in cases of high levels of inflammation and pain, it is a dicey situation as the doses required often produce severe side effects. First, we do no harm. That is our motto and when medications have been exhausted, it is time to seek other options that are safe, effective and offer hope. In order to improve results, education is first and foremost. It is important for the horse owner to be on the same page, understanding what is going on, which can help to improve the long term prognosis.
At Nouvelle Reseach, Inc., our job is to educate and provide the means to improve outcomes. We are here to help.
I hope this information helps, but please let me know if there are questions.
All my best,
Tom Schell, D.V.M.
tschelldvm@gmail.com
Nouvelle Research, Inc.
www.nouvelleresearch.com


